Trudy
Before
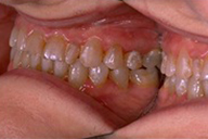
Trudy presented with severe problems with her jaw muscles and joints, related to her severely retruded upper jaw, both vertically and horizontally, her only desire was to get her jaws together, and to relieve her muscle tension that was secondary to the poor fit.





After
Her results were achieved by moving the entire upper jaw down, forward, and bone grafting. Her muscle problems were eliminated, and her teeth fit together.





Crystal
Before
Crystal needed to have her upper jaw brought forward so the teeth would meet, and so that she could chew.





After
After bringing the upper jaw down and forward her teeth fit together and there was a secondary significant gain in her appearance.





